
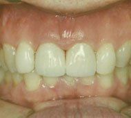
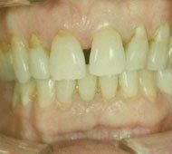
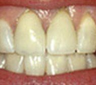
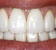
Let our work speak for itself
Before and After
At Dental Associates of Douglaston, your oral health is our top priority. No matter what your dental issues are, we can help you get that beautiful smile that you have always wanted. Take a look at some of our work to see what we can do for you. We can provide cosmetic, implant, family, and preventative dentistry.


















